
Πρόκειται για καλοήθη κύστη της ωοθήκης, η οποία σχετίζεται με την ωορρηξία. Μπορεί να προκαλέσει οξύ κοιλιακό άλγος, αλλά στις περισσότερες περιπτώσεις η αντιμετώπιση είναι συντηρητική και η αιμορραγική κύστη απορροφάται σε διάστημα 6 με 8 εβδομάδων.
Τι προκαλεί το αιμορραγικό ωχρό σωμάτιο;
Κατά τη φυσιολογική διαδικασία της ωορρηξίας, το ωάριο απελευθερώνεται από το ώριμο ωοθυλάκιο, το οποίο δίνει τη θέση του στο ωχρό σωμάτιο. Το ωχρό σωμάτιο έχει το ρόλο της παραγωγής προγεστερόνης, με σκοπό την υποστήριξη μιας ενδεχόμενης εγκυμοσύνης. Αν δεν επιτευχθεί η εγκυμοσύνη, το ωχρό σωμάτιο υποστρέφει και η πτώση των επιπέδων προγεστερόνης οδηγεί στην έμμηνο ρύση (περίοδο). Το ωχρό σωμάτιο μπορεί να δημιουργήσει μια κύστη (την κύστη ωχρού σωματίου), ενώ η ρήξη ενός αγγείου μπορεί να γεμίσει την κύστη με αίμα.
Πώς γίνεται η διάγνωση;
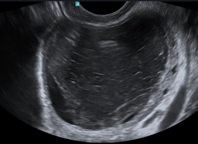
Η διάγνωση είναι εύκολη και μπαίνει με το κλασσικό γυναικολογικό (διακολπικό) υπερηχογράφημα. Συνήθως η ασθενής παρουσιάζει οξύ πόνο ενώ η ρήξη μπορεί, σε κάποιες περιπτώσεις, να οδηγήσει σε ενδοκοιλιακή αιμορραγία. Αν και συνήθως το αιμορραγικό ωχρό δεν λαμβάνει μεγάλες διαστάσεις, αυτό μπορεί να συμβεί σε κάποιες περιπτώσεις.
Πώς γίνεται η αντιμετώπιση;
Αυτό εξαρτάται από πολλούς παράγοντες, όπως η κλινική εικόνα και τα συμπτώματα της ασθενούς καθώς και το μέγεθος της κύστης. Στην πλειονότητα των περιπτώσεων, η αντιμετώπιση είναι συντηρητική και περιλαμβάνει αναλγητικά και παρακολούθηση, μιας και συνήθως απορροφώνται χωρίς παρέμβαση. Σε περιπτώσεις έντονου πόνου, μπορεί να ενδείκνυται η εισαγωγή σε νοσοκομείο/ κλινική για ισχυρά αναλγητικά. Ωστόσο, αν υπάρχει υποψία ενεργού αιμορραγίας ή συστροφής της ωοθήκης, ενδείκνυται η επείγουσα λαπαροσκόπηση. Στόχος μιας τέτοιας παρέμβασης είναι να σταματήσει την αιμορραγία, να παροχετεύσει το αίμα από την κύστη και να σώσει, τελικά, την ωοθήκη.
Αν έχετε κύστη ωοθήκης, μη διστάσετε να επικοινωνήσετε μαζί μας. Είμαστε εδώ για να βοηθήσουμε!